목차
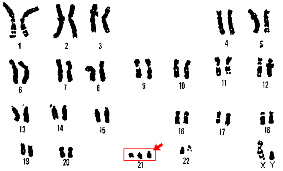
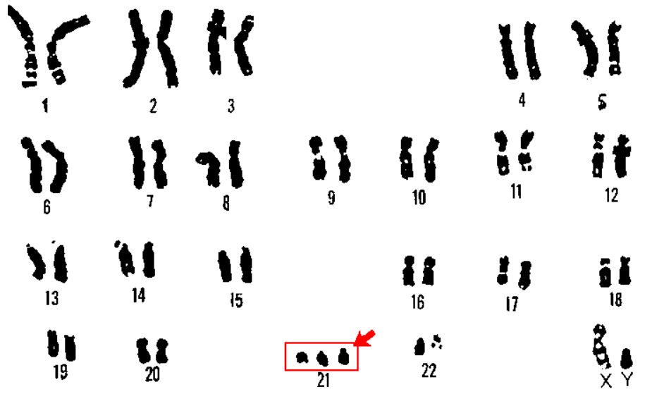
유전병으로 알려져 있으며 발생원인은 21번 염색체가 정상인보다 많기 때문에 발생이 된다.. 태어나는 시점 부터 다운증후군인지 아닌지 확인이 가능하며 보통은 일반사람보다 수명이 짧다.

일반적으로 젊은사람이 임신을 하여 아이를 낳는 경우 보다는 나이가 많은 사람이 아이를 낳게 되는 경우에 장애를 가진 태아를 낳을 가능성이 조금 더 높다.
외형적인 특징은 전세계 적으로 비슷한 양상을 띠고 있다. 뒷머리가 눌린 듯이 납작함, 얼굴이 납작해 보임, 귓바퀴가 접혀있음, 손가락과 발가락이 짧음, 발가락 사이가 벌어져있음, 입을 벌리고 있음 등의 신체적특징이 나타난다.
다운증후군을 검사하는 방법는 세포유전학적 검사와 산전진단방법이 있다. 해당 유전병을 완치하는 방법은 알려져 있지 않다. 하지만 의료적으로 문제가 있는 부분들은 충분히 치료가 가능한부분들이 많다.
절반이상의 다운증후군 환자들은 심장질환과 순환계 질환을 가지고 있으며 발달지연, 갑상선저하증, 백혈병 등도 발병된다. 또한 시력과 청력의 저하 또한 하나의 증상이다.
지능점수는 대게 청소년, 성인 기준으로 50~60점 정도 밖에 되지 않으며 정상인과 비교하면 대략 8살에서 9살 정도의 지능을 지니고 있을 뿐이다. 어린아이 수준의 지능 뿐만아니라 어린아이의 순수함도 닮아 있다.
남에게 봉사하려는 마음이 있고 상대적으로 순한 성격을 가진 것은 다운증후군을 가진사람들의 공통이라고 볼 수가 있다. 그리고 또한 고집을 꺾기가 굉장히 힘들다.
의학적문제 뿐만아니라 지능발달도 어떻게 성장하냐에 따라 조금씩 차이가 있다고 알려져 있다. 심리, 미술, 음악, 언어 치료과 교육을 통해 지능의 향상을 기대할 수도 있고 사회적인 일에도 참여할 수 있게 된다. 사회로 진출한 사례는 드물지만 교사, 화가, 모델, 배우, 체조선수로서 간혹 눈에 띄기도 한다.
다운증후군은 약 1,000분의 1의 확률도 태어난다는 통계가 있듯이 절대 생각보다 희귀한 유전병은 아니다.





최근댓글